Kids & Teen's Orthodontics
Straighten Teeth Easily, Quickly
& Discreetly
October Half Term Specialist Orthodontic Assessments
Get an assessment with our Orthodontist for your child for just £50.
Find out what options your child has to straighten their teeth.
For kids aged 7 years old and above.
What Can Orthodontics Fix?






- Early Orthodontics - From 7 years old. Can reduce the need for more complex or longer treatment in the future. May prevent the need to extract permanent teeth.
- Fixed Braces
- Metal or clear, and works 24 hours a day to straighten your teeth. Tends to be quicker to achieve straighter teeth and sometimes less expensive
- Clear Aligners - Near invisible, removable appliance. Straightens teeth through a series of A.I. designed aligners
- Fixed Braces - Metal or clear, and works 24 hours a day to straighten your teeth. Tends to be quicker to achieve straighter teeth and sometimes less expensive
Book an assessment with our Orthodontist to see how they can benefit from braces.
Get a Specialist Orthodontic assessment during October Half Term for your child for just £50. Find out what options your child has to straighten their teeth.
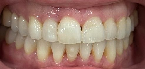
How Orthodontics Can Transform Your Child's Teeth?




Meet Our Specialist Orthodontist
Dr. Ronak Shams
Why should you see a Specialist Orthodontist? Straightening your teeth with a Specialist Orthodontist means you’re seeing someone who’s spent years training specifically in how to move teeth safely and effectively.
They understand how to create not only a straighter smile, but also a healthy bite that feels comfortable and lasts. With their expert eye, you can feel confident that your treatment plan is designed just for you, giving you the best possible results.



Why people believe in us




A Different Kind Of Dental Experience
- Experienced clinicians who have completed 1000's of Invisalign cases
- A dedicated Treatment Coordinator to guide and support you through your treatment
- State of the art technology for more accurate diagnosis & treatment planning
- Calm & relaxing environment to make to make you feel like you are at a spa, not the dentist
- Reliable, honest and friendly dental team that you can trust to look after you like our own family
- Stringent cross infection protocols to ensure patient and staff safety
Start Your Journey To Achieving A New Smile!
Spread the cost of your orthodontoc treatment with 0% and interest bearing finance available through our finance partner, Tabeo. To find out more, just click below:
Aura private plans are also available and are tailored to the length of your treatment. To find out more, ask one of the team.
* Cost of Invisalign depends on the complexity of your case. Monthly cost represents finance agreement available through 3rd party provider.
** £50 deposit required to book Invisalign consultation. Full price of consultation is £85 payable on the day of your appointment. X-ray's not included in consultation price.
Achieve The Smile You Deserve!
Book Online Or Send Us Your Contact Details & We Will Get In Touch Very Soon


